Posts

Showing posts from December, 2023

Unlocking the Facts: Root Canal Treatment in Petlad

Image
  Nestled in the heart of Gujarat, Petlad is a vibrant town that boasts a rich cultural heritage. Amidst the cultural tapestry, residents of Petlad may find themselves faced with dental issues that require specialized attention. One such common yet often misunderstood dental procedure is the root canal treatment. In this blog post, we will delve into the nuances of root canal treatment in Petlad , addressing frequently asked questions (FAQs) to provide valuable insights for our targeted audience. Understanding Root Canal Treatment: Root canal treatment, also known as endodontic therapy, is a dental procedure aimed at treating infection or damage within the pulp of a tooth. The pulp, which contains nerves, blood vessels, and connective tissues, can become inflamed or infected due to deep cavities, cracked teeth, or trauma. To preserve the tooth and alleviate pain, a root canal treatment becomes necessary. Why Petlad for Root Canal Treatment? Petlad boasts a network of experienced an...

Unraveling the Mysteries of Root Canal Treatment in Petlad: Your Ultimate Guide

Image
  Welcome to Petlad, where dental care takes center stage in preserving the smiles of its residents. Among the various dental procedures offered, root canal treatment stands out as a crucial solution for maintaining oral health. In this blog post, we will delve into the intricacies of Root Canal Treatment (RCT) in Petlad , addressing common questions and concerns to provide a comprehensive guide for our readers. Subheading 1: What is Root Canal Treatment? Root Canal Treatment is a dental procedure designed to save a severely damaged or infected tooth. The process involves removing the infected pulp, cleaning and disinfecting the root canals, and sealing them to prevent further infection. This treatment is crucial in preventing the spread of infection and preserving the natural tooth. Subheading 2: Why Choose Root Canal Treatment in Petlad? Petlad boasts a range of experienced and skilled dentists who specialize in root canal procedures. These professionals use state-of-the-art tech...

Transformative Maxillofacial Surgery in Petlad: Your Ultimate Guide

Image
  Maxillofacial surgery is a specialized field that focuses on treating conditions affecting the face, jaw, and neck. In the quaint town of Petlad, where advanced healthcare meets compassionate service, maxillofacial surgery has become a beacon of hope for individuals facing a myriad of oral and facial issues. This blog post aims to shed light on the significance of maxillofacial surgery in Petlad , addressing frequently asked questions (FAQs) to empower and inform our targeted audience. Why Maxillofacial Surgery in Petlad? Expertise and Experience: Petlad boasts a team of highly skilled maxillofacial surgeons with years of experience in treating complex facial and oral conditions. These experts are well-versed in the latest surgical techniques, ensuring the best possible outcomes for patients. State-of-the-Art Facilities: The town is equipped with modern, state-of-the-art medical facilities that provide a conducive environment for maxillofacial surgery. From diagnostic tools to cu...

Unlocking the Potential of Maxillofacial Surgery in Petlad: A Comprehensive Guide for Residents

Image
  Petlad, a serene town nestled in the heart of Gujarat, has witnessed a remarkable surge in healthcare services in recent years. Among the array of medical specialties, maxillofacial surgery has emerged as a crucial field, addressing a wide range of oral and facial issues. This blog post aims to shed light on the significance of maxillofacial surgery in Petlad and answer some frequently asked questions for the local residents. Understanding Maxillofacial Surgery: Maxillofacial surgery encompasses a broad spectrum of procedures that involve the diagnosis and treatment of disorders, injuries, and defects affecting the head, face, neck, and jaws. This specialized branch of surgery combines elements of both dentistry and medicine, requiring a skilled and experienced surgical team. Why Maxillofacial Surgery in Petlad? Petlad residents now have access to state-of-the-art maxillofacial surgical services, thanks to the progressive healthcare infrastructure in the region. Local clinics an...

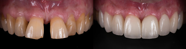
Transform Your Smile with a Smile Makeover in Petlad: FAQs Unveiled

Image
  Subheading 1: What is a Smile Makeover? Are you looking to enhance your smile and boost your confidence? A smile makeover might be the perfect solution for you! In Petlad, a picturesque town that values the beauty of a genuine smile, a smile makeover can be a transformative experience. A smile makeover is a comprehensive treatment plan that combines various cosmetic dentistry procedures to address multiple aspects of your smile, such as teeth color, alignment, shape, and overall aesthetics. Whether you're dealing with stained teeth, chipped enamel, or misaligned bites, a smile makeover can help you achieve the radiant and harmonious smile you've always dreamed of. Subheading 2: What Procedures are Included in a Smile Makeover? A smile makeover in Petlad typically involves a personalized combination of cosmetic dental procedures. Common treatments include teeth whitening, dental veneers, bonding, orthodontic interventions, and gum contouring. These procedures work together to ...

Transform Your Smile: A Comprehensive Guide to Smile Makeovers in Petlad

Image
  Are you dissatisfied with your smile? Do you find yourself hiding your teeth in photos or avoiding social situations because of dental imperfections? If so, you're not alone. Many individuals in Petlad, and around the world, seek ways to enhance their smiles and boost their confidence. Fortunately, the solution might be closer than you think – a Smile Makeover. Understanding Smile Makeovers A Smile Makeover is a personalized treatment plan designed to address multiple dental concerns and enhance the overall appearance of your smile. It involves a combination of cosmetic dentistry procedures tailored to meet your unique needs and goals. From teeth whitening and veneers to orthodontic treatments, Petlad residents can access a range of services to achieve the smile they've always dreamed of. Why Choose a Smile Makeover in Petlad? Petlad boasts a growing number of reputable dental clinics and experienced cosmetic dentists who specialize in Smile Makeovers. The city's dental p...

Transforming Smiles in Petlad: A Comprehensive Guide to Braces Treatment

Image
  Petlad, a charming town with a rich cultural heritage, is witnessing a surge in advanced healthcare services, including orthodontic treatments. One such transformative journey is through braces treatment, a pathway to achieving a confident and radiant smile. This blog post aims to provide a comprehensive guide to braces treatment in Petlad , catering to the queries of our local audience. Subheading: FAQs about Braces Treatment in Petlad What is Braces Treatment? Braces treatment is a specialized orthodontic procedure designed to correct misaligned teeth and jaw discrepancies. This involves the use of braces, which are dental devices consisting of brackets, wires, and bands that work together to gradually shift teeth into their proper positions. Who Needs Braces? Braces are recommended for individuals with various orthodontic issues, such as crowded or spaced teeth, overbites, underbites, and crossbites. It is not limited to age, as both children and adults can benefit from braces...

Transforming Smiles: A Comprehensive Guide to Braces Treatment in Petlad

Image
  Subheading: FAQs About Braces Treatment in Petlad In the serene town of Petlad, where tradition meets modernity, individuals of all ages are seeking the path to a perfect smile through braces treatment. This transformative journey not only enhances aesthetics but also promotes oral health. In this blog post, we'll delve into the nuances of braces treatment in Petlad , addressing common questions to provide valuable insights for our local audience. The Basics of Braces Treatment in Petlad: Braces treatment, also known as orthodontic treatment, is a method of straightening or aligning teeth using braces. These braces consist of various materials, such as metal, ceramic, or clear aligners, which exert gentle pressure on the teeth to guide them into the desired position. In Petlad, dental professionals are equipped with state-of-the-art facilities to offer personalized and effective braces treatment for patients of all ages. FAQs About Braces Treatment in Petlad: What age is suitable...